Cosmetische behandelingen
Tegenwoordig is er steeds meer vraag naar door patiënten, omdat een mooi gebit steeds belangrijker is geworden.
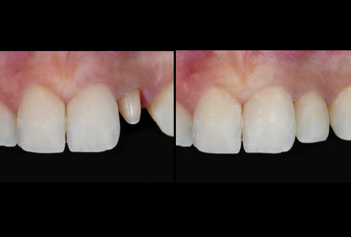
Na de nodige theorie gaan we middels hands-on op instructiemodellen oefenen hoe we de meest effectieve manier vinden om een mooi resultaat te verkrijgen. Bent u geïnteresseerd in de nieuwste en meest effectieve methoden voor het maken van facings of opbouwen van elementen, dan is deze cursus zeker iets voor u. ook worden (combinatie) mogelijkheden doorgenomen zoals orthodontie, kroon-brugwerk, bleken. Etc.
Mondfotografie en scannen, vorm en functie, voorbereiding en voorlichting, gecombineerde orthodontie/facing/kronen/implantaten en bleken, materiaalkennis, preparatie en opbouw. Afwerken/afbehandeling en nazorg.
Leerdoelen zijn voorbereiding en diagnostiek, materiaalkennis en preparatie/afwerkvaardigheden ontwikkelen in cosmetische behandelingen
Doelgroep
Tandartsen
Leerdoel
Voorbereiding en diagnostiek, materiaalkennis en preparatie/afwerkvaardigheden ontwikkelen in cosmetische behandelingen
Les en studiebelasting
De les wordt klassikaal gegeven (theorie en praktijk)en duurt 4 dagen.
Studiebelasting is niet van toepassing.
Niveau, vooropleiding en vrijstelling
Het niveau van de cursus is WO.
De benodigde vooropleiding is tandheelkunde
Vrijstelling niet van toepassing
Materialen, begeleiding en diensten
Inbegrepen bij de cursus
Certificaat
Na deelname ontvang je een certificaat
Data
Voor cursusdata neem svp contact met ons op
Kosten
3000 euro


